RW Oral Surgery
Conditions Treated




Impacted Teeth, Wisdom Teeth and Cysts
The prospect of having teeth removed can be very worrying. Rhodri can discuss with you the benefits and complications of treatment and can help you decide the best way to manage the process.
Oral Medicine Conditions
a
Lumps , bumps, ulcers white & red patches of the mouth are fairly common and rarely sinister.
Rapid assessment and management of these can often alleviate anxiety and concern.

Facial Pain
There are many causes of facial pain.
Having a specialist who has both medical and dental training can help in getting to a diagnosis quickly and effectively.

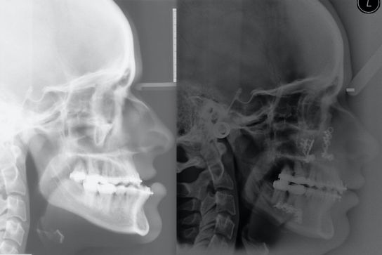
Jaw Surgery / Orthognathics
a
Jaw disproportion can have profound affects on chewing, appearance and self confidence. Rhodri works with his surgical colleague Kevin McMillan and with a team of specialist orthodontists to manage these challenging and sensitive problems.




Pre-implant bone grafting
Rhodri works closely with implant specialists to facilitate the placement of dental implants in more complex cases where bone grafting or augmentation is required.






